Vascularite Cerebrale
Cnravc Enfant
Umfcs U Bordeaux Fr Documents Professions De Sante Medecine Interne Memoires 09 Vascularitescerebralesemmanuelribeiro Pdf
Vascularites Cerebrales Sciencedirect
Vascularites Du Systeme Nerveux Central Sciencedirect
Meningite A Streptococcus Pneumoniae Et Vascularite Cerebrale Figure 1c
Vasculite Du Systeme Nerveux Central
Devant une vascularite cérébrale, les causes infectieuses doivent donc être systématiquement envisagées, et l'enquête diagnostique doit être individualisée selon le contexte clinique du patient Inversement, les vascularites cérébrales doivent être connues et identifiées devant des symptômes neurologiques survenant au cours d'une.
Vascularite cerebrale. Vascularite cérébrale symptômes Cette forme de vascularite est également appelée angiite primaire ou isolée du système nerveux central (PACNS) Les patients souffrent souvent de maux de tête persistants, de vertiges légers et de troubles de la concentration ou de la mémoire. Vascularite cérébrale primaire isolée La vascularite cérébrale primaire isolée est une maladie très rare et sévère, dont les causes ne sont connues de personne aujourd'hui Avec cette maladie il y a une lésion isolée des artères ou des veines de n'importe quel calibre du cerveau avec la formation ultérieure des sites de la. Vascularite cérébrale a soulevé l’hypothèse d’une origine cryoglobulinique mixte Ainsi, la recherche de cryoglobulinémie était positive Le reste du bilan retrouvait une carence en vitamine D à 5,4 µg/L, rattachée à un syndrome de malabsorption Le diagnostic retenu chez notre patiente était, une vascularite cérébrale au cours.
Vidéo pour les patients 2ème partie Cas clinique Vidéo présentée par le Pr Guillevin CRMR Cochin https//wwwmaladiesautoimmunescochi GFEV https. D’angiopathie cérébrale par vasoconstriction réversible, parfois en association avec une courte corticothérapie initiale Qu’estce qu’une vascularite ?. Vascularite cérébrale primaire isolée La vascularite cérébrale primaire isolée est une maladie très rare et sévère, dont les causes ne sont connues de personne aujourd'hui Avec cette maladie il y a une lésion isolée des artères ou des veines de n'importe quel calibre du cerveau avec la formation ultérieure des sites de la.
Vascularite cérébrale associée au SIDA (n) 1 Inflammation du système vasculaire du système nerveux central retrouvée lors du syndrome de l'immunodéficience acquiseChez les enfants, elle peut être associée à des anévrismes intracraniens Ces modifications sont fréquemment retrouvées lors d'infections opportunistes, telles que la varicelle, le CMV, les infections fongiques, la. Vascularite cérébrale a soulevé l’hypothèse d’une origine cryoglobulinique mixte Ainsi, la recherche de cryoglobulinémie était positive Le reste du bilan retrouvait une carence en vitamine D à 5,4 µg/L, rattachée à un syndrome de malabsorption Le diagnostic retenu chez notre patiente était, une vascularite cérébrale au cours. Les vascularites cérébrales peuvent être secondaires à de nombreuses maladies systémiques, infectieuses, néoplasiques, à des expositions toxiques, ou peuvent être isolées au système nerveux central La suspicion de vascularite cérébrale impose un bilan étiologique approfondi visant à identifier les causes secondaires pour lesquelles un traitement spécifique peut être nécessaire.
Les vasculites s'accompagnent souvent de symptômes généraux comme la fièvre, un amaigrissement, des sudations nocturnes ou des douleurs dans les articulations et les muscles. Vascularite cérébrale a soulevé l’hypothèse d’une origine cryoglobulinique mixte Ainsi, la recherche de cryoglobulinémie était positive Le reste du bilan retrouvait une carence en vitamine D à 5,4 µg/L, rattachée à un syndrome de malabsorption Le diagnostic retenu chez notre patiente était, une vascularite cérébrale au cours. La vascularite cérébrale (parfois le mot angiite est utilisé au lieu de «vascularite») est une vascularite (inflammation de la paroi des vaisseaux sanguins ) touchant le cerveau et parfois la moelle épinière Elle affecte tous les vaisseaux très petits vaisseaux sanguins ( capillaires ), vaisseaux sanguins de taille moyenne ( artérioles et veinules ) ou gros vaisseaux sanguins.
Vascularite cérébrale a soulevé l’hypothèse d’une origine cryoglobulinique mixte Ainsi, la recherche de cryoglobulinémie était positive Le reste du bilan retrouvait une carence en vitamine D à 5,4 µg/L, rattachée à un syndrome de malabsorption Le diagnostic retenu chez notre patiente était, une vascularite cérébrale au cours. Près de 80% des patients atteints de vascularite ont des changements EEG diffus, mais cette méthode avec vascularite cérébrale n'est ni spécifique ni sensible et ne fournit pas de précision diagnostique( Joseph FG Scolding NJ vasculite cérébrale une approche pratique // Pract Neurol 02 Vol2 P8093 ). Isolé vascularite cérébrale primaire Vascularite lorsque les vaisseaux sanguins refusent de travailler Ceci est une maladie très rare et grave, la cause de qui sont aujourd'hui inconnue Lorsque la maladie se produit des lésions des artères ou des veines isolées du cerveau d'un calibre avec la formation ultérieure de zones de.
La vascularite primitive du système nerveux central est une maladie diffuse et évolutive justifiant un traitement immunosuppresseur prolongé À l’inverse, les artériopathies cérébrales postinfectieuses, en particulier postvaricelle, ont une évolution favorable sous monothérapie par aspirine. Certaines maladies rendent les vaisseaux sanguins du cerveau plus fragiles anévrysmes cérébraux, angiopathie amyloïde cérébrale, vascularite, etc Si on omet les inflammations et les anévrysmes, ces maladies touchent le plus souvent les petits vaisseaux, les gros vaisseaux étant relativement épargnés (sauf exception). Les symptômes dépendent du volume cérébral ischémié et de la localisation de l'ischémie cérébrale hémiplégie, coma, aphasie, amnésie Tout est possible certains patients ne garderont que des séquelles légères leur permettant une vie autonome avec reprise de l'activité professionnelle, d'autres garderont des séquelles plus ou.
Vascularite cérébrale est souvent difficile à diagnostiquer et peut nécessiter une batterie de tests Les médecins peuvent utiliser une tomodensitométrie (TDM) et l’imagerie par résonance magnétique (IRM) Une ponction lombaire ou l’analyse du liquide céphalorachidien, peut aussi indiquer une éventuelle maladie neurologique. Accident vasculaire cérébral ischémique – L’étiologie, la physiopathologie, les symptômes, les signes, les diagnostics et les pronostics à partir des Manuels Merck, version pour professionnels de la santé. Les vascularites sont des maladies rares autoimmunes Le "ite" veut dire inflammation, on est donc en présence d'une inflammation vasculaire, ou, pour être plus précis, d'une inflammation de la paroi des vaisseaux sanguins.
Le diagnostic de vascularite du système nerveux central (SNC) est difficile et souvent posé par excès, en l'absence de confirmation histologique Les manifestations cliniques des vascularites du SNC sont protéiformes et totalement non spécifiques. Vascularite cérébrale associée au SIDA (n) 1 Inflammation du système vasculaire du système nerveux central retrouvée lors du syndrome de l'immunodéficience acquiseChez les enfants, elle peut être associée à des anévrismes intracraniens Ces modifications sont fréquemment retrouvées lors d'infections opportunistes, telles que la varicelle, le CMV, les infections fongiques, la. Vidéo pour les patients 2ème partie Cas clinique Vidéo présentée par le Pr Guillevin CRMR Cochin https//wwwmaladiesautoimmunescochi GFEV https.
Les vasculites constituent un ensemble de pathologies caractérisées par une atteinte inflammatoire de vaisseaux sanguins entraînant des modifications structurelles de leur paroi Tous les types de vaisseaux peuvent être atteints et les manifestations cliniques sont très hétérogènes On distingue les vasculites secondaires ( d'origine infectieuse), fréquentes, des vasculites. La vascularite cérébrale (parfois le mot angiite est utilisé au lieu de «vascularite») est une vascularite (inflammation de la paroi des vaisseaux sanguins ) touchant le cerveau et parfois la moelle épinière Elle affecte tous les vaisseaux très petits vaisseaux sanguins ( capillaires ), vaisseaux sanguins de taille moyenne ( artérioles et veinules ) ou gros vaisseaux sanguins. Vascularites systémiques ce groupe de maladies est caractérisé par une inflammation et une nécrose des parois vasculaires des artères et veines de tout calibre quelle qu'en soit la localisation (aspect histologique de vascularite leucocytoclasique avec un infiltrat polymorphe périvasculaire où prédominent les polynucléaires neutrophiles à noyau pycnotique alors que dans les.
Vascularite cérébrale est souvent difficile à diagnostiquer et peut nécessiter une batterie de tests Les médecins peuvent utiliser une tomodensitométrie (TDM) et l’imagerie par résonance magnétique (IRM) Une ponction lombaire ou l’analyse du liquide céphalorachidien, peut aussi indiquer une éventuelle maladie neurologique. Pour toutes questions sur le GFEV, les vascularites ou les protocoles en cours GFEV Groupe Français d'Etude des Vascularites Service de Médecine Interne Hôpital Cochin Bâtiment Saint Jacques 27, rue du faubourg Saint Jacques Paris cedex 14 Tél 33 1 58 41 29 71 Fax 33 1 58 41 29 68 groupevascularite@cchaphpfr. Vascularite cérébrale est souvent difficile à diagnostiquer et peut nécessiter une batterie de tests Les médecins peuvent utiliser une tomodensitométrie (TDM) et l’imagerie par résonance magnétique (IRM) Une ponction lombaire ou l’analyse du liquide céphalorachidien, peut aussi indiquer une éventuelle maladie neurologique.
Vascularite cérébrale symptômes Cette forme de vascularite est également appelée angiite primaire ou isolée du système nerveux central (PACNS) Les patients souffrent souvent de maux de tête persistants, de vertiges légers et de troubles de la concentration ou de la mémoire. De vascularite • Les signes généraux – amaigrissement –fièvre • Expression variable selon le type de vascularite – Exemple la maladie de Horton • fièvre 86 % des cas • amaigrissement 64 % des cas – Exemple le purpura rhumatoïde • fièvre 32 % des cas • amaigrissement 29 % des cas A Petit calibre, capillaire, veinule. • Vascularite cérébrale chez % des patients – Atteinte focale ou plus diffuse – Rarement inaugurale, fréquent après 23 ans d’évolution – Uniquement 12% de formes avec atteinte isolée du S NC – Imagerie petits infarctus corticaux et souscorticaux périphériques.
Une angiographie cérébrale peut être effectuée avant l’ablation chirurgicale d’athéromes ou en cas de suspicion de vascularite Comme l’angiographie par TDM est moins invasive, elle a largement remplacé l’angiographie cérébrale réalisée avec un cathéter. 3 Hémorragie cérébrale ou intracérébrale Parmi les maladies vasculaires cérébrales, on retrouve l’hémorragie cérébrale Nous avons parlé des deux maladies cérébrales d’origine ischémique les plus communes Nous nous arrêtons désormais sur ces problèmes dont les éléments déclencheurs sont dus à une hémorragie. Près de 80% des patients atteints de vascularite ont des changements EEG diffus, mais cette méthode avec vascularite cérébrale n'est ni spécifique ni sensible et ne fournit pas de précision diagnostique( Joseph FG Scolding NJ vasculite cérébrale une approche pratique // Pract Neurol 02 Vol2 P8093 ).
Vascularite est généralement traitée avec des médicaments tels que la prednisone et cyclophosphamide pour supprimer le système immunitaire qui attaque les navires et à réduire l'inflammation Pronostic Vascularite n'est généralement pas la vie en danger, sauf si les principaux organes ont été touchés par un apport sanguin insuffisant. La vascularite cérébrale (parfois le mot angiite est utilisé au lieu de «vascularite») est une vascularite (inflammation de la paroi des vaisseaux sanguins ) touchant le cerveau et parfois la moelle épinière Elle affecte tous les vaisseaux très petits vaisseaux sanguins ( capillaires ), vaisseaux sanguins de taille moyenne ( artérioles et veinules ) ou gros vaisseaux sanguins. La vascularite cérébrale est une complication non exceptionnelle de la méningite tuberculeuse, rapportée dans près de 15 à 25 % des cas , Les atteintes vasculaires cérébrales de la tuberculose prédominent dans les territoires profonds, classiquement à l'origine d'infarctus des noyaux gris centraux par engainement et occlusion des.
Le diagnostic de vascularite du système nerveux central (SNC) est difficile et souvent posé par excès, en l'absence de confirmation histologique Les manifestations cliniques des vascularites du SNC sont protéiformes et totalement non spécifiques. Les vasculites s'accompagnent souvent de symptômes généraux comme la fièvre, un amaigrissement, des sudations nocturnes ou des douleurs dans les articulations et les muscles. Accident vasculaire cérébral ischémique – L’étiologie, la physiopathologie, les symptômes, les signes, les diagnostics et les pronostics à partir des Manuels Merck, version pour professionnels de la santé.
Vascularite est généralement traitée avec des médicaments tels que la prednisone et cyclophosphamide pour supprimer le système immunitaire qui attaque les navires et à réduire l'inflammation Pronostic Vascularite n'est généralement pas la vie en danger, sauf si les principaux organes ont été touchés par un apport sanguin insuffisant. Penser à une vascularite d’autant plus que le patient ne se gratte pas et que l’urticaire est chronique et récidivante Ulcérations, gangrène, phlébite superficielle (très évocateur) La phlébite superficielle doit faire évoquer de principe la maladie de Behçet (vascularite systémique), la maladie de Berger. La vascularite affecte parfois la peau, mais pas les organes internes (vascularite cutanée) Causes De façon générale, le déclencheur de la vascularite est inconnu Dans ces cas, la vascularite est connue sous le nom de vascularite primitive Cependant, lorsque des infections, des toxines, certains virus, en particulier les virus de l.
La vascularite cérébrale ectasiante est la forme la plus classique d’atteinte vascularitique liée au VIH, mais d’autres tableaux très polymorphes sont également rencontrés Toutes les tailles de vaisseaux sont concernées Les manifestations cliniques sont également très hétérogènes et dépendent du territoire et du calibre des. IRM cérébrale et/ou médullaire, en cas d'anomalies cliniques orientant vers une atteinte neurologique centrale D'autres examens peuvent être indiqués en fonction de la présentation clinique (par exemple, examen ophtalmologique, endoscopies digestives en cas de signe d'appel) 34 Confirmation histologique de la vascularite. IRM cérébrale et/ou médullaire, en cas d'anomalies cliniques orientant vers une atteinte neurologique centrale D'autres examens peuvent être indiqués en fonction de la présentation clinique (par exemple, examen ophtalmologique, endoscopies digestives en cas de signe d'appel) 34 Confirmation histologique de la vascularite.
Angéite cérébrale primitive Secondaires Infectieuses Maladies de système Toxiques et médicamenteuses Néoplasiques Devant un tableau de vascularite du SNC Enquête toxique et médicamenteuse Bilan d’extension clinique et paraclinique (atteintes systémiques) Gold standard pour l’angéite primitive du SNC examen anatomopathologique. IRM cérébrale et/ou médullaire, en cas d'anomalies cliniques orientant vers une atteinte neurologique centrale D'autres examens peuvent être indiqués en fonction de la présentation clinique (par exemple, examen ophtalmologique, endoscopies digestives en cas de signe d'appel) 34 Confirmation histologique de la vascularite. Une vascularite est définie par l’existence d’une inflammation des vaisseaux sanguins, artères, veines et/ou capillaires.
La Presse Médicale Vol 41 N° 11 p Vascularites cérébrales EMconsulte. Présentation des maladies démyélinisantes – En savoir plus sur les causes, les symptômes, les diagnostics et les traitements à partir des Manuels MSD, version pour le grand public. La vascularite primitive du système nerveux central est une maladie diffuse et évolutive justifiant un traitement immunosuppresseur prolongé À l’inverse, les artériopathies cérébrales postinfectieuses, en particulier postvaricelle, ont une évolution favorable sous monothérapie par aspirine.
3 Hémorragie cérébrale ou intracérébrale Parmi les maladies vasculaires cérébrales, on retrouve l’hémorragie cérébrale Nous avons parlé des deux maladies cérébrales d’origine ischémique les plus communes Nous nous arrêtons désormais sur ces problèmes dont les éléments déclencheurs sont dus à une hémorragie. La vascularite primitive du système nerveux central est une maladie diffuse et évolutive justifiant un traitement immunosuppresseur prolongé À l’inverse, les artériopathies cérébrales postinfectieuses, en particulier postvaricelle, ont une évolution favorable sous monothérapie par aspirine. Les vasculites constituent un ensemble de pathologies caractérisées par une atteinte inflammatoire de vaisseaux sanguins entraînant des modifications structurelles de leur paroi Tous les types de vaisseaux peuvent être atteints et les manifestations cliniques sont très hétérogènes On distingue les vasculites secondaires ( d'origine infectieuse), fréquentes, des vasculites.
3 Hémorragie cérébrale ou intracérébrale Parmi les maladies vasculaires cérébrales, on retrouve l’hémorragie cérébrale Nous avons parlé des deux maladies cérébrales d’origine ischémique les plus communes Nous nous arrêtons désormais sur ces problèmes dont les éléments déclencheurs sont dus à une hémorragie. Une angiographie cérébrale peut être effectuée avant l’ablation chirurgicale d’athéromes ou en cas de suspicion de vascularite Comme l’angiographie par TDM est moins invasive, elle a largement remplacé l’angiographie cérébrale réalisée avec un cathéter. Une vascularite cérébrale peut aussi compliquer le cours d’infections bactériennes systémiques telle que la maladie de Lyme En plus des signes diffus (apathie, troubles du comportement), la maladie peut être associée à une artérite de la base, confirmée par une prise de contraste de la paroi artérielle 6.
La Presse Médicale Vol 41 N° 11 p Vascularites cérébrales EMconsulte. En médecine, une vascularite est une maladie impliquant l'inflammation des parois des vaisseaux sanguinsElles sont principalement dues à une migration et attaque anormale de leucocytes et aux dommages qui en résultent La plupart des vascularites sont des maladies rares ou émergentes (comme par exemple la maladie de Kawazaki)Elles s'en prennent généralement à divers groupes d'organes.
Vasculite Du Systeme Nerveux Central
Www Cen Neurologie Fr Files Files Enseignement Cours Seminaires Paca Vascularites Cerebrales Prim Secondaires Pdf
Pdf Tuberculose Multifocale Associee A Une Vascularite Cerebrale A Propos D Un Cas S Othmani Academia Edu
Les Meningo Encephalites
Semaine Nationale Des Vascularites
Pdf Un Syndrome Malin Des Neuroleptiques Complique D Hemorragie Meningee Et Revelant Une Vascularite Cerebrale Semantic Scholar
Umfcs U Bordeaux Fr Documents Professions De Sante Medecine Interne Memoires 09 Vascularitescerebralesemmanuelribeiro Pdf
Image D Arteriographie Cerebrale Faisant Evoquer Des Lesions De Download Scientific Diagram
Www Cen Neurologie Fr Files Files Enseignement Cours Seminaires Paca Vascularites Cerebrales Prim Secondaires Pdf
Vascularites Cerebrales Ppt Video Online Telecharger
Vascularites Cerebrales Ppt Video Online Telecharger
Vasculite Du Systeme Nerveux Central
Vascularites Cerebrales Ppt Video Online Telecharger
Manifestations Neurologiques Du Lupus Lupus Systemique Lupus Erythemateux Dissemine Diapotheque Du Cofer
Meningite A Streptococcus Pneumoniae Et Vascularite Cerebrale Figure 1b
Angeite Primaire Du Systeme Nerveux Central Revue Medicale Suisse
Definition Des Vascularites
Vascularites Cerebrales Ppt Video Online Telecharger
Musical Wiv 14 Teaser Youtube
Forum Medical Suisse Madame B Se Comporte Etrangement
Www Datocms Assets Com 6375 Vascularite Du Snc Hubert De Boysson Pdf
Vascularites Cerebrales Ppt Video Online Telecharger
Figure Figure 3 Un Syndrome Malin Des Neuroleptiques Complique D Hemorragie Meningee Et Revelant Une Vascularite Cerebrale B
Vascularite Cerebrale Inaugurale D Une Meningite A Pneumocoque Sciencedirect
Doc Rero Ch Record 2875 Files Gilm These Pdf
Angeite Primaire Du Systeme Nerveux Central
Polyangeite Microscopique Troubles Musculosquelettiques Et Du Tissu Conjonctif Edition Professionnelle Du Manuel Msd
Vascularites Cerebrales Sciencedirect
Vasculite Du Systeme Nerveux Central
Vascularite Cerebrale Vascularite Diapotheque Du Cofer
Figure 1 From Un Syndrome Malin Des Neuroleptiques Complique D Hemorragie Meningee Et Revelant Une Vascularite Cerebrale Semantic Scholar
Angeite Primaire Du Systeme Nerveux Central
Vascularites Du Systeme Nerveux Central Hubert De Boysson Service De Medecine Interne Chu De Caen Pdf Free Download
Vascularites
Angeite Primaire Du Systeme Nerveux Central
Vascularites Cerebrales Ppt Video Online Telecharger
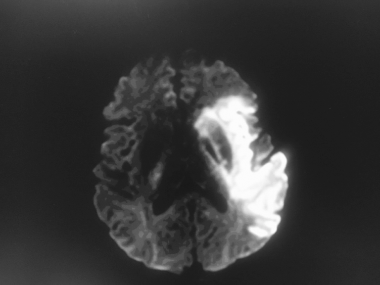
Meningite A Streptococcus Pneumoniae Et Vascularite Cerebrale Figure 2a
Ischemie Cerebrale Progressive Mortelle En Cml Sous Traitement De Troisieme Intention Au Ponatinib Leucemie Leucemie
Pdf Hemorragies Cerebro Meningees Sur Ruptures D Anevrismes Inaugurales D Une Vascularite Cerebrale Lupique
Meningite A Streptococcus Pneumoniae Et Vascularite Cerebrale Figure 1a
Vascularites Cerebrales Sciencedirect
Www Datocms Assets Com 6375 Vascularite Du Snc Hubert De Boysson Pdf
Encephalomyelite Aigue Disseminee Wikipedia
Umfcs U Bordeaux Fr Documents Professions De Sante Medecine Interne Memoires 09 Vascularitescerebralesemmanuelribeiro Pdf
Vascularites Cerebrales Ppt Video Online Telecharger
Vascularites Cerebrales Ppt Video Online Telecharger
Vascularites Du Systeme Nerveux Central Sciencedirect
Vascularites Cerebrales Ppt Video Online Telecharger
Vascularite Abecedaire
Cnravc Enfant
Enquete Sur L Incidence Du Milieu Professionnel Matieres Dangereuses Dans La Survenue Des Vascularites
Www Cen Neurologie Fr Files Files Enseignement Cours Seminaires Paca Vascularites Cerebrales Prim Secondaires Pdf
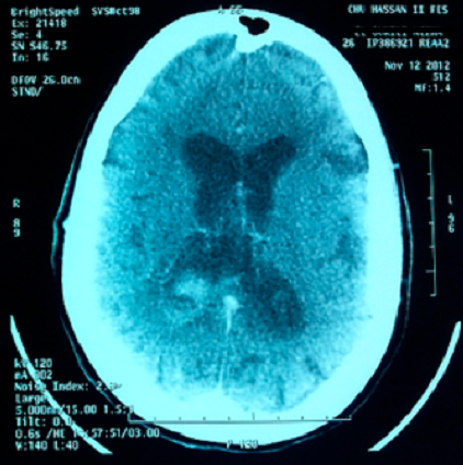
Srlf Vascularite Cerebrale Avc Helpp Syndrome Trouverez Vous Le Diagnostic Testez Vos Connaissances Avec La Lettre Reactu Images T Co Dmccfpjcu3 Mir Foamed T Co 4gpdblbblh
Vascularites Fievre Fatigue Et Souffrance D Organes Pourquoi Docteur
Pdf Un Syndrome Malin Des Neuroleptiques Complique D Hemorragie Meningee Et Revelant Une Vascularite Cerebrale
Www Cen Neurologie Fr Files Files Enseignement Cours Seminaires Paca Vascularites Cerebrales Prim Secondaires Pdf
Pdf Lymphome Intravasculaire Ou Vascularite Cerebrale Un Defi Diagnostique Et Une Question Vitale
Vascularite Cerebrale Vascularite Du Systeme Nerveux Central 2eme Partie Youtube
Vascularite Cerebrale Vascularite Du Systeme Nerveux Central 1ere Partie Youtube
Vascularites Du Systeme Nerveux Central Sciencedirect
Accident Vasculaire Cerebral Avc Symptomes Traitement Definition Docteurclic Com
Covid 19 Les Symptomes Peuvent Etre Neurologiques Realites Biomedicales
Angiopathie Amyloide Cerebrale Wikipedia
Vascularites Cerebrales Ppt Video Online Telecharger
Vascularite Cerebrale Inaugurale D Une Meningite A Pneumocoque Sciencedirect
Angeite Primaire Du Systeme Nerveux Central Revue Medicale Suisse
Umfcs U Bordeaux Fr Documents Professions De Sante Medecine Interne Memoires 09 Vascularitescerebralesemmanuelribeiro Pdf
Umfcs U Bordeaux Fr Documents Professions De Sante Medecine Interne Memoires 09 Vascularitescerebralesemmanuelribeiro Pdf
Vascularites Cerebrales Sciencedirect
Meningovascularite Aigue Syphilitique Chez Une Jeune Femme Immunocompetente
Www Cen Neurologie Fr Files Files Enseignement Cours Seminaires Paca Vascularites Cerebrales Prim Secondaires Pdf
Vascularite Cerebrale Vascularite Du Systeme Nerveux Central
Myelite Transverse Et Vascularite Cerebrale Post
Www Datocms Assets Com 6375 Vascularite Du Snc Hubert De Boysson Pdf
Accident Vasculaire Cerebral Wikimedica
Les Meningo Encephalites
Orbi Ulg Ac Be Bitstream 2268 1 Rmi 08 Pdf
Angeite Primaire Du Systeme Nerveux Central Revue Medicale Suisse
Angeite Primaire Du Systeme Nerveux Central Revue Medicale Suisse
Pdf O 09 Myelite Transverse Et Vascularite Cerebrale Postmeningite A Streptococcus Pneumoniae Serie De 3 Cas Et Revue Des Cas De Myelite Et De Vascularite De La Litterature
Vascularites Cerebrales Ppt Video Online Telecharger
Pdf Un Syndrome Malin Des Neuroleptiques Complique D Hemorragie Meningee Et Revelant Une Vascularite Cerebrale Semantic Scholar
Figure Figure 1 Un Syndrome Malin Des Neuroleptiques Complique D Hemorragie Meningee Et Revelant Une Vascularite Cerebrale B
Angeite Primaire Du Systeme Nerveux Central
Vascularite Cerebrale Inaugurale D Une Meningite A Pneumocoque Sciencedirect
Vascularites Cerebrales Ppt Video Online Telecharger
Angeite Primaire Du Systeme Nerveux Central
Vascularite Cerebrale Au Cours De La Polyarthrite Rhumatoide Sciencedirect
Vascularites Cerebrales Ppt Video Online Telecharger
Cnravc Enfant
Rapport Sfo 18 Retine Et Vitre
Angeite Primaire Du Systeme Nerveux Central Revue Medicale Suisse
Connaitre Les Principaux Types De Vascularite Systemique Les Organes Cibles Les Outils Diagnostiques Et Les Moyens Therapeutiques
Www Datocms Assets Com 6375 Vascularite Du Snc Hubert De Boysson Pdf


