Mordancage Dentaire
Nos Services Concernant La Dentisterie Restauratrice
Produit Dentaire Materiel Dentaire Mordancage Dentalachat
Le Collage A La Dentine Sclerotique L Information Dentaire
Ips E Max Assemblage Et Prophylaxie
Metamorphose Correction Du Sourire Centre Philippe Rousseau
Metamorphose Correction Du Sourire Centre Philippe Rousseau
Prothesiste Dentaire > Appareils > Alliages & Revetement > Céramique > Cire > CAD CAM > Four > Instruments > Platre > Preparation des Modeles > Prothese Amovible > Sables > Laser Solution Numérique > Scanner IntraOrale > CAD CAM Mordançage Composite Fonds De.
Mordancage dentaire. GELS DE MORDANÇAGE PULPDENT Pulpdent, innovation dentaire depuis 1947 Vous propose une large gamme de produits dentaires, Sans BPA et ses dérivés Vous trouveres dans cette rubrique des produits de mordançage de haute qualité EtchRite · EtchRoyale,Silane,Porcelain Etch Gel et pocelain Prep kit. Avec les services dentaires cosmétiques disponibles à la Clinique dentaire Samuel Holland , nous pouvons vous aider à restaurer votre sourire. Implantologie > Bio Matériaux & Membranes > Trousse Chirurgicale > Kit d'Implantologie > Empreintes;.
L’INFORMATION DENTAIRE n° 16 18 avril 07 5Gritsch K, Pourreyron LIncidences de la réalisation des prothèses fixées sur la pulpe et le parodonte 1re partie préparations dentaires et prothèses transitoiresCah de Proth N° 142 juin 08 6LASSERRE JF Restaurations céramiques du secteur antérieur évolution et révolution dans. La Clinique Dentaire GrandeAllée offre des services de dentisterie complets tel que nettoyages, traitements de canal, pédodontie et bien plus!. Le mordançage et les facettes – Pour un plus beau sourire Les traitements dentaires comme le mordançage et les facettes ne servent pas seulement à traiter des caries ou à réparer des dents cassées, mais aussi à embellir l’apparence des dents saines.
Macro, micro et nano mordançage Il s'applique également à d'autres secteurs que le dentaire et s'adapte suivant les cahiers des charges clients (colonne vertébrale, maxillo faciale, etc. Mordançage Découvrez le matériel dentaire professionnel sur le site officiel de Dental Privé, spécialiste en équipement et fourniture dentaire. J'ai pas bien compris mais j'espère que tu ne comptes pas utiliser l'etching du kit pour réparer la céram comme mordançage pour la partie dentaire ???.
*When viewing product specific information please ensure that your are viewing your relevant country region as product classifications for a particular product may vary from region to region. Mordançage \mɔʁdɑ̃saʒ\ masculin (Dentisterie, Photographie, Technologie, Textile) Action de dégrader légèrement une surface, à l’aide d’un mordant, afin de faciliter l’adhérence d’un autre produit, tel qu’une couleur, une colle. Le mordançage et les facettes – Pour un plus beau sourire Les traitements dentaires comme le mordançage et les facettes ne servent pas seulement à traiter des caries ou à réparer des dents cassées, mais aussi à embellir l’apparence des dents saines.
Mordançage des surfaces de liaison pour augmenter les microrétentions des restaurations en vitrocéramique (céramiques à base de leucite, disilicate de lithium et de fluoroapatite) afin d'augmenter les valeurs de liaison dentaire et doit être mis en oeuvre selon le mode d’emploi Les dommages. Conditionnement Kit de 2 seringues de 25 g 8 embouts, Recharge Jumbo sans silice 1seringue de 12g pointes, Kit Jumbo Maxi 60g sans silice 5 seringues vides pcs, embouts courbés, 25ga, Pour le mordancage des canaux radiculaires 1 seringue de 12g pcs. Depuis presque 25 ans, DenPlus conçoit, fabrique et distribue des produits dentaires.
Les soins dentaires connaissent actuellement une évolution intéressante Alors que les dentistes se spécialisent de plus en plus, la demande de produits pouvant être utilisés pour des indications de plus en plus polyvalentes continue d’augmenter Ces systèmes et matériaux font partie d’une tendance à l’universalité en matière de soins dentaires une tendance à laquelle. > Fauteuils Dentaire > Stérilisation > Chirurgie > Laser > Microscope;. PRÉCAUTIONS À L’INTENTION DU PERSONNEL DENTAIRE Précautions relatives à l’utilisation du gel de mordançage Le gel de mordançage Scotchbond™ Universal 3M™ ESPE™ contiend 32 % d’acide phosphoric en poids Le port de lunettes de protection par les patients et le personnel est recommandé pendant l’utilisation de.
Mordançage dentaire Portuguese Corrosão Dentária Last Update 1419 Usage Frequency 1 Quality Reference Wikipedia Warning This alignment may be wrong Please delete it you feel so. Mordançage \mɔʁdɑ̃saʒ\ masculin (Dentisterie, Photographie, Technologie, Textile) Action de dégrader légèrement une surface, à l’aide d’un mordant, afin de faciliter l’adhérence d’un autre produit, tel qu’une couleur, une colleLe mordançage doit se faire à froid, c’estàdire à la température de 18° à °C, quand on a des foulards à fond blanc ou à fond de. Facette dentaire Mordançage Blanchiment des dents Couronnes Ponts Incrustation Dentaire Implants dentaire Remplacer les dents manquantes Chirurgie buccale Extraction des dents de sagesse Urgence dentaire La prévention et les urgences dentaires.
Trouver une fourniture dentaire, comparer les prix des fournitures dentaires devient simple avec le comparateur de prix AnnuaireduDentaire. Clinique dentaire Galt, Sherbrooke, QC 372 likes · 4 talking about this · 31 were here Une dentisterie sans mercure axée sur la santé globale, la meilleure qui soit!. • Appliquer l’agent de mordançage sur la surface de la dent à restaurer • Laisser agir l’agent de mordençage sur la surface de la dent pendant 15secondes Une durée de mordençage plus longue peut être nécessaire sur les dents de lait ou des dents riches en fluorure • Rincer avec un jet d’air/eau pendant à 30 secondes.
Prothesiste Dentaire > Appareils > Alliages & Revetement > Céramique > Cire > CAD CAM > Four > Instruments > Platre > Preparation des Modeles > Prothese Amovible > Sables. 5 Application de l’adhésif dentaire Procéder au travail utilisant le système adhésif selon les instructions d’utilisation de son fabricant AVERTISSEMENT ・ En ce qui concerne les conditions de mordançage, suiver les instructions d’utilisation du système adhésif utilisé conjointement. Du blanchiment des dents aux facettes en passant par le mordançage, nos services cosmétiques aident à embellir votre sourire et à accroître votre confiance en vous!.
DenPlus, à votre service depuis presque 25 ans!. 5 Application de l’adhésif dentaire Procéder au travail utilisant le système adhésif selon les instructions d’utilisation de son fabricant AVERTISSEMENT ・ En ce qui concerne les conditions de mordançage, suiver les instructions d’utilisation du système adhésif utilisé conjointement. La Clinique Dentaire GrandeAllée vous propose plusieurs services de dentisterie esthétique, dont le blanchiment dentaire à Brossard, pour embellir votre sourire Dent cassée, malocclusion, dent décolorée, il existe plusieurs raisons qui motivent les gens à avoir recours à nos services.
Mordançage dentaire German Ätzung, ZahnLast Update 1419 Usage Frequency 1 Quality Reference Wikipedia Warning This alignment may be wrong Please delete it you feel so French Brunissage dentaire German Zahnglätten Last Update 1419. Avec les services dentaires cosmétiques de la Clinique dentaire Massé & Rioux, nous pouvons vous aider à restaurer votre sourire à l'aide d'un plan de traitement personnalisé. Implantologie > Bio Matériaux & Membranes > Trousse Chirurgicale > Kit d'Implantologie > Empreintes;.
Avec ses 37% d’acide phosphorique, notre gel Super Etch atteint son efficacité maximale en 15 à secondes ️ 🔹 Pour 21, nous vous proposons de bénéficier d’une offre 1 1 ou 2 1 sur le coffret de 10 seringues OU la seringue jumbo Contacteznous pour. Conditionnement Kit de 4 seringues de 1,2 ml et 8 embouts applicateurs Seringue de 3ml S'utilise avec les embouts courbés 25 g REF25B Gel de mordançage pour couronnes en porcelaine,vernis,inlays et surfaces de céramique Le gel de mordançage Porcelain Etch Gel est de très haute qualité, il ne tache pas la porcelaine, les composites, ou les ciments. Le dentiste doit ensuite effectuer une abrasion superficielle avec de l’acide chlorhydrique Pour ce faire, il procède à 2 ou 3 applications de produit de mordançage Iconetch®, acide chlorhydrique concentré à 15% utilisé sous forme de gel, pendant 2 minutes.
GELS DE MORDANÇAGE PULPDENT Pulpdent, innovation dentaire depuis 1947 Vous propose une large gamme de produits dentaires, Sans BPA et ses dérivés Vous trouveres dans cette rubrique des produits de mordançage de haute qualité EtchRite · EtchRoyale,Silane,Porcelain Etch Gel et pocelain Prep kit. PORCELAIN ETCH GEL ESSAI GRATUIT !. Du blanchiment des dents aux facettes dentaires en passant par le mordançage et plus encore, nos services cosmétiques aident à embellir votre sourire et à accroître votre confiance en vous!.
Un plombage blanc requiert l’utilisation d’une digue dentaire pendant la pose, pour éviter la contamination L’intervention est donc plus compliquée Un mordançage (application d’acide phosphorique) est souvent préférable pour augmenter l’adhérence du composite sur l’émail. La chirurgie dentaire résout les problèmes causés par les dents manquantes, le déchaussement des dents et les dents de sagesse Comprendre tout sur la chirurgie dentaire Le dentiste effectue deux à trois applications du produit de mordançage Iconetch® pendant deux minutes. L'invention concerne également des procédés comprenant une application monocouche permettant d'éviter un mordançage dentaire Methods include one coat application without need for tooth etching L'invention porte sur un procédé et un appareil de mordançage d'un substrat photolithographique The present invention provides a method and an apparatus for etching a photolithographic.
Mordançage esthétique Le mordançage est une procédure cosmétique au cours de laquelle le dentiste utilise de la résine composite de couleur naturelle Il l'applique sur la dent cariée, décolorée ou endommagée pour vous donner un sourire plus naturel et uniforme Dans la plupart des cas, une seule visite suffit à mordancer plusieurs. DELTON® FS est un produit de scellement dentaire facile et rapide à appliquer DELTON® FS est un produit de teinte semblable à celle des dents, composé à 55 % Appliquer l’agent de mordançage dans les puits et les fissures à l’aide de l’emboutbrosse Durcissement. Dentaire 3M Scotchbond 1 • 1 seringue de 3ml de gel de mordançage 3M Scotchbond et emboutsaiguille • Accessoires Coffret d’essai 6021TK contenant • 10 capsules (10X0,2g) de matériau de restauration 3M Filtek Z250, teinte A3 • 1 flacon de 3ml du système adhésif dentaire 3M Scotchbond 1 • 1 seringue de 3ml de gel de mordançage.
;) Répondre Citer Score 0 PierreE 10/08/07 à 1241 Meuh non je suis pas une quiche quand même p Je sais lire les modes d'emploi quand même. La Clinique Dentaire GrandeAllée vous propose plusieurs services de dentisterie esthétique, dont le blanchiment dentaire à Brossard, pour embellir votre sourire Dent cassée, malocclusion, dent décolorée, il existe plusieurs raisons qui motivent les gens à avoir recours à nos services. Prothesiste Dentaire > Appareils > Alliages & Revetement > Céramique > Cire > CAD CAM > Four > Instruments > Platre > Preparation des Modeles > Prothese Amovible > Sables.
Facette dentaire Mordançage Blanchiment des dents Couronnes Ponts Incrustation Dentaire Implants dentaire Remplacer les dents manquantes Chirurgie buccale Extraction des dents de sagesse Urgence dentaire La prévention et les urgences dentaires. Retrouvez votre matériel dentaire instruments dentaires produits dentaires matériels de CFAO et autres composites dentaires à des prix imbattables !. La facette en résine composite est l’option la moins chère Une seule visite suffit et vous avez un grand choix de teintes afin de marier la couleur des dents adjacentes Malheureusement, les facettes en résine composite sont moins durables que celles en porcelaine et résistent moins bien aux taches dues au tabac et aux aliments comme le café, le vin rouge, les bleuets, etc.
Mordançage esthétique Le mordançage est un traitement cosmétique au cours duquel le dentiste utilise un matériau de couleur naturelle, appelé résine composite Il l'applique sur la dent cariée, décolorée ou endommagée pour vous donner un sourire plus naturel et uniforme. Mordançage dentaire Portuguese Corrosão Dentária Last Update 1419 Usage Frequency 1 Quality Reference Wikipedia Warning This alignment may be wrong Please delete it you feel so. Différentes études se sont intéréssées à l'effet du mordançage sur la force d'adhésion de la restauration collée, en faisant varier soit le produit utilisé (gel acide phosphorique à 35% ou à 10%, gel acide maléïque ou plus récement avec des adhésifs automordançants) En ce qui concerne ces derniers, il a été parfois recommandé de mordancer au préalable avec un gel d'acide.
Le mordançage permet d’effectuer de petites réparations sur vos dents rapidement et sans douleur Dans la plupart des cas, une seule visite suffit à mordancer plusieurs dents Le dentiste utilise un matériau de couleur naturelle, appelé résine composite. Mordançage à base d’acide phosphorique à 37%, présentés sous forme de gel et vendus sur ordonnance uniquement, qui sont utilisés par les professionnels des soins dentaires pour le mordançage de la dentine ou de l’émail avant d’effectuer une restauration dentaire Les produits de mordançage Premier sont conçus pour être. *When viewing product specific information please ensure that your are viewing your relevant country region as product classifications for a particular product may vary from region to region.
Facette dentaire Mordançage Blanchiment des dents Couronnes Ponts Incrustation Dentaire Implants dentaire Remplacer les dents manquantes Chirurgie buccale Extraction des dents de sagesse Urgence dentaire La prévention et les urgences dentaires. > Fauteuils Dentaire > Stérilisation > Chirurgie > Laser > Microscope;. Ce cas montre, étape par étape, comment réaliser une restauration postérieure, de la préparation à la finition La préparation comprend l'utilisation de l'in.
ALLBOND 2®* Système Adhésif Dentaire Universel INFORMATION GENERALE ALLBOND 2, le système adhésif de 4ème génération de référence, possède une capacité d’adhésion étendue à de nombreux substrats tels que la dentine, l’émail, les nouveaux et anciens composites, les métaux précieux et semiprécieux, les alliages. La chirurgie dentaire résout les problèmes causés par les dents manquantes, le déchaussement des dents et les dents de sagesse Comprendre tout sur la chirurgie dentaire Le dentiste effectue deux à trois applications du produit de mordançage Iconetch® pendant deux minutes. 🔹Aujourd’hui c’est notre gel de mordançage Super Etch que l’on vou s propose dans une offre très avantageuse !.
Eclaircissement Et Stratification Anterieure Au Composite Quelle Strategie Adopter
Les Usures Irregulieres Gerer La Realisation Du Mock Up L Information Dentaire
Pdf Chap5 La Temporisation En Prothese Fixee
Clinical Case
Le Mordancage Fairview Dental
Collets Sensibles Solutions
Ivoclar Vivadent Te Econom Flow Light Curing Radiopaque Flowable Compo Tooth Depot
1
Dentisterie Cosmetique Dentiste Du Plateau
Les Composites
Les Usures Irregulieres Gerer La Realisation Du Mock Up L Information Dentaire
Realisation D Un Composite Anterieur L Information Dentaire
Facettes Dentaires A Montreal Prix Types Et Recommandations Clinique Dentaire Genevieve Rompre
K Ecthant Gel K Etchant Gel 6ml
Www Ivoclarvivadent Nl Zoolu Website Media Document 365 Reflect 3 15
Protocole D Assemblage De Facettes Sur Incisives Centrales Dentaire365
Http Www Kuraraynoritake Eu Pub Media Pdfs Clearfil Universal Bond Sales Brochure Be Nl Lu French Pdf
Www Ivoclarvivadent Nl Zoolu Website Media Document 365 Reflect 3 15
Les Composites
Stop Aux Sensibilites Postoperatoires Sous Les Restaurations Seance Interactive
1
Clinical Case
Dentoetch Etching Gel 37 En 1 Seringue De 50 Ml 5 Seringues 1 Ml
Les Usures Irregulieres Gerer La Realisation Du Mock Up L Information Dentaire
G Etch Gel De Mordancage Antigua Dental Rehabilitation Et Creation De Cabinets Dentaires Saint Martin Saint Barthelemy
Dentalclick France Distributeur De Produits Dentaires Acide Gel Scothbond Universel Dentalclick Fr
Mordancage Dentisterie Esthetique
Ips E Max Assemblage Et Prophylaxie
Dentisterie Casselman Dental Clinic Traitement De Mordancage Dentaire
Dr Precilia Ziri Chirurgien Dentiste A Paris 9e Soins Fonctionnels Preventifs Et Esthetiques Urgences
Dentisterie Esthetique
Clinical Case
Clinique Dentaire Le Sommet Facette
La Restauration Dentaire
Association Dentaire Canadienne
Dentisterie Esthetique Centre Dentaire Et D Implantologie Dr Jean Francois Lemelin
Acide En Gel Vert Pour Mordancage
Q Tbn And9gcscunmqxnjz25byxs Yulbjfn5g2fc9ycdbmoda7pbj9uayygdj Usqp Cau
Reparer Une Denture Ou La Rendre Plus Belle Clinique Dentaire De L Avenir
Association Dentaire Canadienne
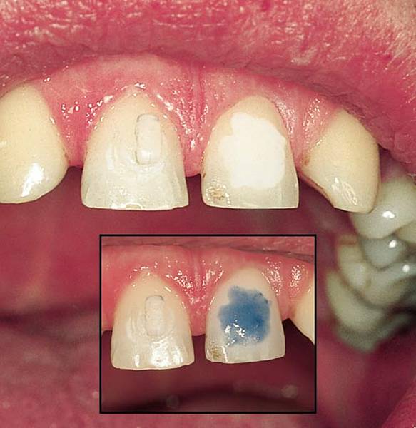
Mordancage De L Email Pendant 30 Secondes Et De La Dentine Avec Download Scientific Diagram
La Chirurgie Dentaire Les Techniques Du Mordancage Et Des Facettes
Rehabilitation Esthetique De Dents Anterieures Avec Des Facettes De Porcelaine Completes Et Sectionnelles Jcda
Le Mordancage Quali Dent Your Miramichi Dental Clinic
Types De Reparations Et De Restaurations Dentaires Davidcote
Http Www Kuraraynoritake Eu Pub Media Pdfs Clearfil Universal Bond Sales Brochure Be Nl Lu French Pdf
Equipement Dentaire Materiel Dentaire Materiel Dentiste Go Dentaire
Blu Gel Gel De Mordancage En Seringue 3 X 4 7gr Clarben
Le Mordancage Fairview Dental
Le Composite Posterieur Step By Step Dentisterie Esthetique
Equipement Dentaire Materiel Dentaire Materiel Dentiste Go Dentaire
Mordancage Conseil Dentaire Dr Hauteville
Preparation Traitement Des Surfaces C Dentaire France
Www Msss Gouv Qc Ca Professionnels Documents Sante Dentaire Archives 13 2 Fn Vf Partie2 Pdf
Notions Et Moyens De Collage
Dentisterie Casselman Dental Clinic Traitement De Mordancage Dentaire
Notions Et Moyens De Collage
Dentoetch Gel De Mordancage A L Acide Phosphorique A 37
Readaptation Esthetique De Dents Anterieures Hypoplasiques En Utilisant Le Laser Litetouch Er Yag Un Rapport De Cas
Super Etch Gel De Mordancage Produit Dentaire
Facettes Dentaires Courcelette
Types De Reparations Et De Restaurations Dentaires Davidcote
Les Adhesifs
Katana Cleaner Universal Cleaner Kuraray Noritake
Rehabilitation Esthetique Par Collage De Fragment Dentaire Rapport De Cas Cas Clinique
Protocole De Collage Indirect Recommande Pour La Preservation De L Email L Information Dentaire
Edisco Boutique En Ligne De Fourniture Dentaire
Techniques De Restauration
Www Ivoclarvivadent Nl Zoolu Website Media Document 365 Reflect 3 15
Le Mordancage Fairview Dental
Www Ivoclarvivadent Nl Zoolu Website Media Document 365 Reflect 3 15
Gel De Mordancage Dentoetch Itena
Http Www Kuraraynoritake Eu Pub Media Pdfs Clearfil Universal Bond Sales Brochure Be Nl Lu French Pdf
Le Mordancage Fairview Dental
Sec Index P 6 708 Patterson Dental Dentaire Canada
Etching Gel 37 En 4 Seringues De 1 2 Ml 8 Embouts
Dentiste Pres De Lavaltrie Clinique Dentaire A Repentigny Lanaudiere
Les Facettes En Ceramique De L Indication A L Utilisation Dossiers Du Mois
Www Ivoclarvivadent Nl Zoolu Website Media Document 365 Reflect 3 15
Les Usures Irregulieres Gerer La Realisation Du Mock Up L Information Dentaire
K Etchant Gel De Mordancage 2 Seringues De 3ml 40 Canules Kuraray
Types De Reparations Et De Restaurations Dentaires Davidcote
Email Dentaire Wikipedia
Fournitures Dentaires Produits Dentaires Cfao Dentalachat
Ultra Etch Acide De Mordancage Recharge Seringue X 1 2ml Ultradent
Les Composites
Dentist Hawkesbury Dental Clinic
Gel De Mordancage Eco Bleu Fourniture Dentaire Equipement Dentiste Dentalprive
Dental Face Mockup Temporary Dental Veneers
Protocole D Assemblage De Facettes Sur Incisives Centrales Dentaire365
Les Composites
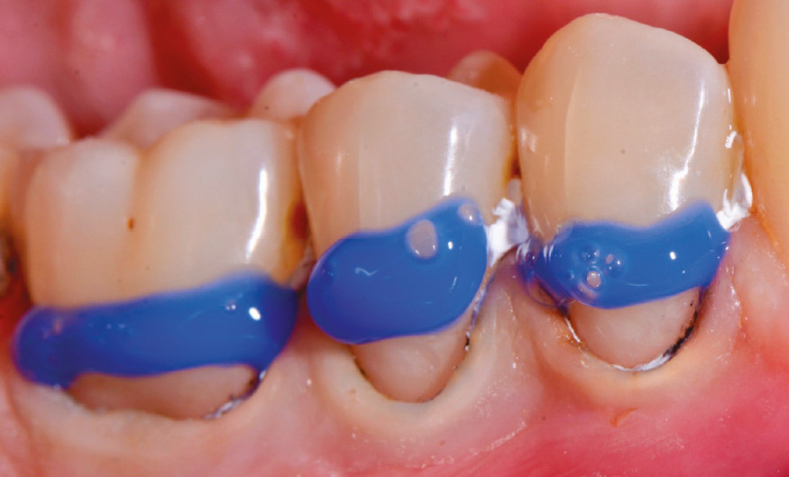
Figure 17 Mordancage Selectif De L Email Endodontie
Traitement Des Dents Manquantes Les Options Le Bel Age
Esthetique Du Sourire Anjou Centre Dentaire D Urgence
Ultrabrush Applicateur A Brosse Jetable Microbrush
Les Restaurations Partielles Collees Dans Le Traitement De Molaires Depulpees
Dental Events Archive Sdi


